Teeth Whitening

What beautiful teeth she has at 75 years old:
Her teeth look like pearls after teeth whitening.

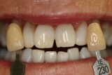
"My co-workers noticed something good with me and asked 'What did you do?' It looks better and improves my home care (of my teeth). I am motivated. Smile is contagious." The shade guide shows how much her teeth are improved after teeth whitening.