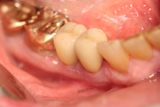
Crowns

Compared to fillings, which just cover a small portion of the tooth, a crown (or cap) encases the entire visible portion of the tooth. In effect, the crown acts as the tooth's new outer surface. A dental crown is used when a tooth is broken or decayed to such an extent that fillings aren't able to repair the problem. The crown is able to provide a protective shell around the damaged or decayed tooth to strengthen it, as well as to improve the appearance of the tooth.

While crowns come in different materials, the most common crowns are made of porcelain to give them the look and feel of a natural tooth. The tooth-colored, porcelain crowns are permanently capped with dental cement over the prepped tooth.

Beautiful brand new teeth after crowns

Before / After