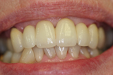
A fixed bridge is a unit of teeth that is used to fill the gap created by a missing tooth or teeth.
Missing teeth may cause digestive disturbances, deviation of your facial appearance, and phonetic interference. Most bridges are made with porcelain crowns that look like natural teeth.